📢 Stop Scope Drift: Join our AI-Powered Project Alignment Webinar 🤖
Projects / Local Chapter Project

Detecting Pediatric Acute Lymphoblastic Leukemia using Computer Vision

Start Date: March 11, 2023 | 3 years ago


Omdena feature image

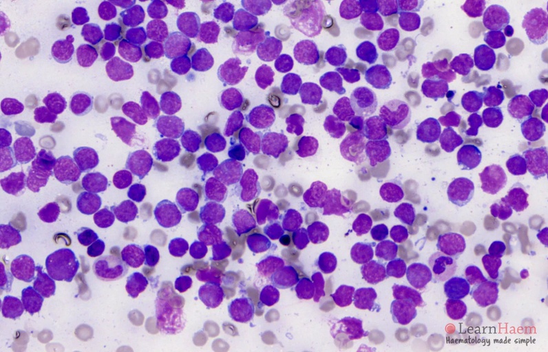
Challenge Background

In ALL there is an accumulation in the bone marrow of immature lymphocyte precursor cells, called blast cells. Eventually, the production of normal blood cells is affected by this, resulting in a reduction in the number of red cells, normal white cells, and platelets in the blood.

ALL is the only form of leukemia that is more common in children than adults. It is the single most common form of pediatric cancer, accounting for about one-third of all cases in children. About 85% of cases of childhood leukemia are ALL and it occurs in about 400 children in the UK each year. ALL occurs mostly between the ages of about two and four years. Males are affected more often than females at all ages.

Project Timeline

1

Week 1: Data collection / organisation

2

Week 2: Data cleaning / augmentation / engineering

3

Explore the images and any augmentations with analysis

4

Build and test a computer vision model

5

Develop an app for inference

6

test

What you'll learn

Data collecting / organisation, Data cleaning / augmentation / engineering, Exploratory Analysis, Building a Computer Vision model, Develop and deploy an app.

First Omdena Local Chapter Project?

Beginner-friendly, but also welcomes experts

Education-focused

Duration: 4 to 8 weeks

Open-source



Your Benefits

Address a significant real-world problem with your skills

Build your project portfolio

Access paid projects (as an Omdena Top Talent)

Get hired at top organizations



Requirements

Good English

Suitable for AI/ Data Science beginners but also more senior collaborators

Learning mindset



Application Form

This Challenge is hosted by:

Become an Omdena Collaborator

media card
Visit the Omdena Collaborator Dashboard Learn More